国考晋位升级之一科一报道|三维重建联合3D打印技术助力罕见胸骨柄肿瘤切除与胸廓重建
近日,我院胸外科携手血液内科、医学影像科、麻醉科等多学科团队,运用先进的三维重建技术,成功为一位长期饱受罕见胸骨柄肿瘤折磨的患者实施了复杂肿瘤切除与胸廓重建手术,不仅彻底清除了病灶,同时保留了患者双侧胸锁关节及上肢功能,最大程度上保证了患者术后的生活质量,取得非常满意的治疗效果。
患者秦女士的故事始于15年前,一个不起眼的胸骨柄肿物悄然生长,直至半年前,其增长速度骤然加快,近成人拳头大小,同时伴随着胸闷气短的症状,不断增大的肿物让她焦虑不安,秦女士的生活被阴霾笼罩。为求进一步治疗,患者慕名来到我院胸外科,面对这一棘手病例,胸外科毛宇主任团队迅速响应,经过周密考量与细致讨论为患者制定了缜密的治疗方案。
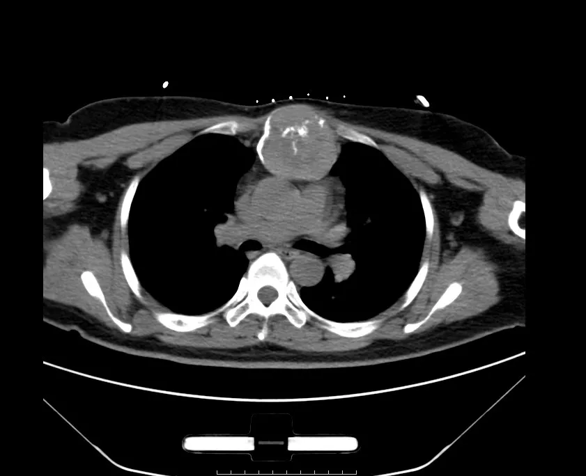
完善相关化验检查后,患者CT结果回报:胸骨柄占位性病变,考虑软骨源性肿瘤,软骨肉瘤可能。在术前的关键筹备阶段,我科为患者精心安排了肿物活检,旨在通过高度精准的微创技术,直接触及病变核心区域,快速准确地明确肿物性质、类型及分化程度,同时,穿刺时特别邀请血液内科主任包翠华医师团队会诊,由血液科医生直接从病变胸骨组织中精准提取骨髓标本,为肿瘤性质的判断提供了宝贵的病理学依据。


肿物活检和提取骨髓标本
在排除了全身性相关疾病后,毛宇主任团队认为,手术切除是治疗胸骨肿瘤的第一选择,也是最佳选择,手术势在必行。但手术切除也面临着很大的风险和挑战。第一:患者胸骨肿物较大,胸骨柄紧邻两侧锁骨、肋软骨且肿物没有活动度,能否完整切除是难点;第二:肿物后方临近心脏,压迫心脏、主动脉弓及其分支及双侧胸腔,一旦侵犯或损伤则有大出血的致命风险;第三:胸骨柄、部分肋骨和肿物一并切除后,双侧锁骨和胸骨体之间会形成巨大缺损,这会造成前胸壁软化塌陷、胸廓活动功能受损及上肢、肩部活动障碍,患者生活质量会大受影响。为此,团队决定采用前沿的三维重建和3D打印技术,为手术制定更精准、安全的方案。三维重建是将患者的CT、MRI原始数据转化为三维可视化模型。这个模型如同一个“透视眼”,让医生能够清晰地看到病灶区域的每一个细节,包括肿瘤的大小、形状、位置以及与周围血管、神经、骨质等组织的关系,能够更加精准地规划手术路径,预测手术风险,制定出个性化的手术方案。同时利用3D打印技术,为患者量身定制适型多孔钛板,以满足其重建胸廓的需求。

受侵胸骨及肿瘤
手术当天,胸外科团队凭借精湛的技艺和三维重建技术的支持,成功完整切除了秦女士的胸骨柄肿瘤。术中,医生们精细操作,仔细解剖,避免了周围重要脏器、血管神经的损伤,完整切除肿物大小约10*10cm。同时,他们巧妙地利用术前3D打印为患者定制的适型多孔钛板结合可吸收补片作为支撑,为患者成功实现了胸廓重建。术后,秦女士在医护人员的精心护理下快速康复,重新找回了健康与希望。

术前CT

术前照

术中标本

术后重建
此次手术的成功,不仅是我院胸外科在复杂胸骨肿瘤治疗、胸廓重建领域技术实力的展现,更是科技创新和外科手术的一次完美结合。未来,我科将继续秉承“以患者为中心”的服务理念,不断探索和创新医疗技术,为更多患者带来健康与福祉,为更多生命送去曙光与希望。

