呼和浩特市第一医院超声医学科开展TCCD新技术讲座暨临床联席会
发布日期:2022-06-09
近年来,脑卒中的发病率、患病率呈爆发式增长趋势,早期发现、早期干预、及早开展相关的防治工作,其发病率及死亡率会明显下降。

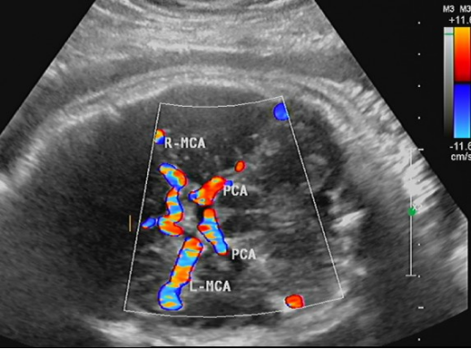
经颅彩色多普勒超声,也称TCCD/TCCS,这是一项无创、价格低廉、重复性强的检查手段,TCCD在TCD成像基础上,加入二锥灰阶成像及彩色多普勒血流成像,可直观地识别颅内结构,更准确地定位颅内血管,通过角度校正,可更为准确地掌握狭窄处及狭窄前、后管腔的实时血流动力学信息;并且与颈动脉彩超联合检查,可以大大提高脑卒中筛查的准确性。
2022年5月30日下午四点,TCCD(经颅彩色多普勒超声检测技术)讲座及临床联席会议在超声医学科会议室召开,会议由超声医学科主任王英主持,神经内科、神经外科、老年病房、消化科等临床科室主任参加会议。
首先由范琳琳医生介绍了TCCD的临床应用价值、相关知识及常见病的诊断,内容切合临床、深入浅出,深受临床医生好评。会后各科主任就超声与临床工作方面的问题进一步做了探讨,对平时工作中遇到的问题进行了沟通,也达成了共识,此次沟通会对以后的科室合作起到很大的促进作用。

最后,王英主任对本次会议进行了总结:希望超声科的新技术通过临床医生惠及广大的患者;同时要加强医技与临床的沟通,使各科合作更加紧密,让患者实现无障碍医疗。
联系电话:超声科5281216 范琳琳:13238443563。
