岁月如歌 深情如故——呼和浩特市第一医院心血管内三科、神经内科联合救治患者纪实
过了明天,就是年三十了!路上的行人明显少了很多,大家都在准备着过春节!
可是有一个地方,有一群人,却在分分秒秒、寸步不离地守护着病人、关注着他们的生命和健康!

这个地方就是——医院,
这一群人,就是——医护人员!
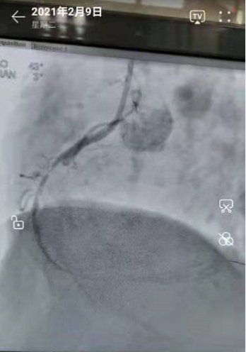
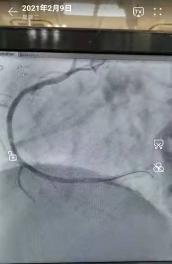
2021年2月9日,心血管内三科的医生们,在导管室正常做着介入手术!今天共3个患者。最后一台是一个胸痛的病人,造影:右冠闭塞99%。与家属沟通后,我们积极地做了开通血管的介入手术。



导丝通过顺利——球囊扩张到位——安放支架成功!
手术完美!
大家兴致勃勃的回到病房,已近上午11点半。
刚回来,接到神经内科会诊的通知:有一个重症监护室的病人,需要安置临时起搏器。
顾不上喝一口水,殷瑛、王晶大夫,赵婷婷护士马上准备临时起搏器的电极及穿刺鞘。疾步如飞地来到神经内科重症监护室,我们了解到:患者是68岁男性,因“右侧肢体无力,言语不清、意识障碍7小时”于2021年2月3日入院。既往有高血压病史3年,脑梗死病史30年。入院诊断为:1.大面积脑梗死;2.高血压病3级(极高危)脑梗死后遗症;3.Ⅱ度2型房室传导阻滞。
入院后给予积极的对症治疗,包括升心率的药物治疗,患者病情较前好转。目前入院7天,血压稳定,无发热,但入院以来心率一直偏低,波动在32--54次/分之间。使用异丙肾静点,疗效差!今日心电图显示Ι度房室传导阻滞。
为更好地进一步治疗,防止在院期间发生不可预测的生命危险,神经内科医生联系我们,给患者安置临时起搏器保驾。

我们来到神经内科重症监护室,看到所有人员都在紧张而有序的忙碌着。兰荣、赵俊英医师简单介绍完病情后,我们开始为患者消毒——颈内静脉穿刺成功——顺利植入起搏器——测试起搏心律良好——固定缝合!

与神经内科医护人员交待相关护理及注意事项后,已经中午12:40了!
期间,侯煜院长亲自询问会诊情况。

累并快乐着!是我们所有医护人员的通病!

这,只是我们工作的一角,是我们医院很多科室都经历过的事情。
再寒冷的冬天,也有美丽的景色;再寒意的日子,也有温馨的情感。
屋外虽是寒意阵阵,可我们的病房里,却因有着这样一群敬畏生命、热爱生命、勇于担当、甘于奉献的人,而暖意融融……

