国考晋位升级之一科一报道|微创椎体强化手术为长寿老人解决脊柱骨折痛苦
发布日期:2025-06-30
近日,呼和浩特市第一医院骨脊柱科医生实施微创椎体强化手术为两位九十岁以上长寿老人解决骨质疏松性椎体压缩性脊柱骨折带来的痛苦,帮助老人快速康复,恢复日常生活。


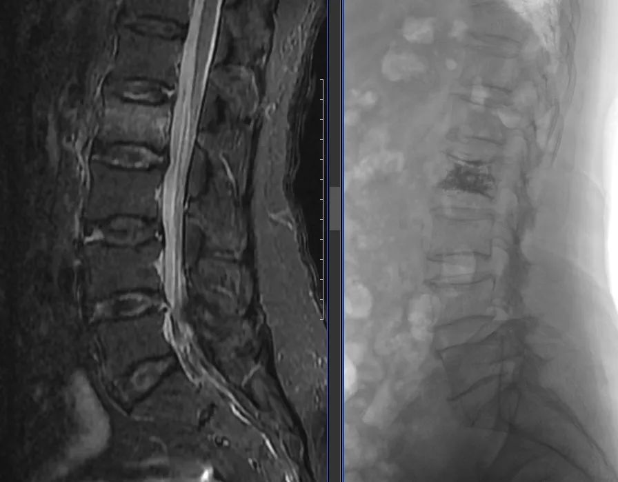
两位老人:白某(94岁,ID:752351)和戴某(93岁,ID:712140),都是因低能量损伤导致胸腰椎骨质疏松性椎体压缩性骨折,受伤后老人因疼痛导致活动严重受限,生活质量下降。由于患者高龄且均患有多种慢性心脑血管及内分泌疾病,快速手术并恢复正常生活迫在眉睫。在家属的充分信任下,骨脊柱科医生为他们实施了胸腰椎骨折椎体后凸成形术,手术效果立竿见影,患者和家属非常满意。


在老年人群的年龄划分中,一般将80至90岁的群体称为高龄老人,而90岁以上的老人则被称作长寿老人。根据官方2024年统计数据,我国90岁以上老年人口比例不足0.3%。骨质疏松性脊柱椎体压缩骨折(OVCF)常起病隐匿,高龄老年患者日常生活中不起眼的动作,如提重物、打喷嚏等,即可导致OVCF发生。一般表现为腰背痛,患者常自认为是腰扭伤或腰肌劳损,并不认为自己发生了骨折,未及时就诊;即使就诊了,也只是单纯行普通X线片和CT检查,未做核磁共振明确诊断,故极易漏诊。此类骨折发生后,患者活动严重受限,被迫以卧床为主,生活质量降低。
呼和浩特市第一医院骨脊柱科在胡继平主任的带领下,科室医生规范化、标准化开展椎体强化手术(PKP或PVP),每年采用该术式治疗骨质疏松性脊柱椎体压缩骨折近百例。高龄患者已经不再被视为手术的绝对禁忌,在快速康复(ERAS)理念的指导下,可使患者在入院后24小时内完成术前检查,术后次日佩戴支具下地活动,住院日3~5天,取得了良好的手术效果,助力患者尽快恢复正常生活。

