国考晋位升级之一科一报道|生死一线!心血管内科与多学科协作,急性心肌梗死后心源性休克患者“重启”生命
冬天的寒风虽冷,却无法阻碍医务人员奔跑的脚步,他们与时间赛跑,让生命不再孤单。呼和浩特市第一医院心血管内科介入团队与心内科重症监护病房(Coronary Care Unit,CCU)在高江峰主任的带领下如同勇敢的战士一样,不抛弃、不放弃,顽强拼搏,争分夺秒,从不可能到可能,用爱心呵护每一次心跳。
患者,男,55岁,因“持续性胸痛伴呼吸困难22小时”入院,既往有高血压病史及糖尿病病史。该患者22小时前无明显诱因出现剑突下疼痛,伴有头晕、大汗,自认为慢性胃病发作,遂口服胃药治疗,但患者上述症状仍持续不缓解,并逐渐出现了呼吸困难症状,患者无法坚持后被紧急送至我院急诊。患者到达我院后呼吸困难症状进一步加重,呈端坐呼吸,无法平卧,并伴有四肢湿冷的表现,而且血压也进行性下降,急诊的医护人员及心内科会诊医师在完善心电图、检查化验后考虑患者已处于急性心肌梗死合并心源性休克的状态。临床上大面积的心肌梗死合并心源性休患者预后极差,病死率极高,国内报道为80%~100%,即使经过治疗后死亡率仍居高不下,达到60%~65%,患者病情十分危急。

当时患者无法平卧,呈端坐位状态,因休克导致精神呈紧张、躁狂状态,随时可能因日常的一个简单动作加重心源性休克症状、诱发严重的心律失常导致死亡,完全没有办法配合手术治疗,患者命悬一线。但是在与患者家属沟通的过程中,家属治疗意愿十分积极。随后高江峰主任当机立断,联系麻醉科准备全麻下行心内科介入手术治疗,为患者争取一线生机,争取上手术台的机会。除此之外,在上台之前给予患者植入主动脉内球囊反搏(IABP),行深静脉置管术以备用临时起搏器通路,为患者的救治之路保驾护航。


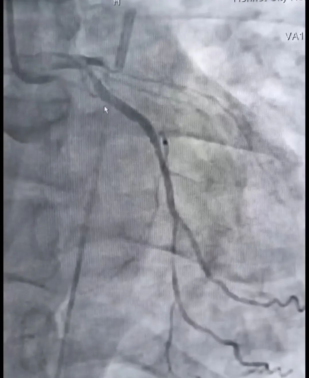
庆幸的是,送入导管室后,患者在经过IABP及药物治疗后可以于半卧位下耐受冠脉介入手术治疗,随后心内科介入团队迅速行冠脉造影,显示前降支急性闭塞、右冠脉慢性闭塞、回旋支中重度狭窄,在与死神百米赛跑的比赛中,团队先快速开通了前降支,解决了罪犯血管,随后又开通了右冠脉,过程中使用血栓抽吸、临时起搏、IVUS、药物球囊植入术等多项操作,于2小时后顺利返回CCU病房。

经过2周的治疗,患者目前已经康复出院。该患者的成功救治,体现了我院心内科团队已经可以为首府人民承担起保家卫“心”的职责,并通过急诊科、麻醉科多学科通力合作提高患者的救治率。我们的医护人员拥有着胆大心细的决策能力与顽强拼搏的职业精神,只要患者有需求,我们就有能力与时间赛跑,为生命护航。


