国考晋位升级之一科一报道|超声造影检查——超声诊断的“第三次革命”
陈女士肝脏上长了个肿块,需要明确肿块是良性还是恶性?可她本人既不想接受CT辐射,也不能接受磁共振过长的检查时间,那陈女士有什么更好的选择吗?
当然有!
超声造影检查,安全无辐射完全可以满足陈女士的需要!
王女士乳腺上长了个肿块,需要明确肿块是良性还是恶性?可她本人不愿意接受CT辐射,也不想接受核磁共振过长的检查时间,那么还有更好的选择吗?
当然有!
超声造影检查,完全无辐射完全可以满足王女士的需要!

★超声造影检查是什么?
超声造影检查是在常规超声检查基础上,通过注射超声造影剂,使病变内部显示更清楚的新技术,它也被誉为超声医学发展的“第三次革命”。
★超声造影剂是什么?
超声造影剂是直径为微米级的气泡,通过外周静脉注射后随血液循环到达目标病灶,最后随肺部呼吸完全排出体外。目前广泛应用的超声造影剂叫做声诺维(SonoVue)。

其主要成分是微小气泡六氟化硫(SF6),可以轻松通过人体内最微小的毛细血管,对人体肝肾功能不会产生毒副作用,所以肝肾功能不全、无法耐受手术的患者也完全可以使用超声造影。


通俗地说,超声造影就像对肿块进行“涂色”,不仅可以让肿块更加显而易见,还可以根据肿块“涂色”的速度和不同方式来认清肿块的本质,判断肿块是“良性”还是“恶性”。
★超声造影检查的优势:
①实时动态连续扫查;
②造影剂无肝肾毒性;
③安全、无辐射。
超声造影检查流程:
①做好检查前准备:胆囊、肝脏检查需空腹8小时以上,膀胱检查需憋尿。
②医生告知检查注意事项,签署超声造影知情同意书。
③置入静脉留置针备用,一般位于手肘部或手背。
④摆好体位,配合医生指示屏气或呼气。
⑤一次造影剂注射后检查时长约为5分钟,视检查部位与图像质量,可行多次造影剂推注。
⑥检查结束后拔除留置针,观察30分钟,如无不适,方可离开。
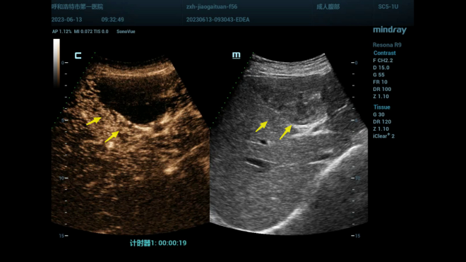
01病例:
老年女性56岁,体检发现肝脏S4段有一中等偏高回声结节,行超声造影检查后考虑血管瘤,手术后证实肝海绵状血管瘤。


02病例:
患者女性,65岁,来我院就诊发现右乳低回声结节,行乳腺超声及超声造影检查后评估为BI-RADS 4C类,建议穿刺活检,术后病理证实为多发导管内癌。


超声医学科:联系电话0471-5281619
(部分图片来源于网络)

