呼和浩特市第一医院神经内科急诊介入手术病历分享
2024年6月11日,神经内科连续为2名急性脑梗死患者进行急诊血管内介入取栓治疗,完成脑卒中缺血再灌注,均取得良好效果,赢得了患者及家属的高度赞誉。
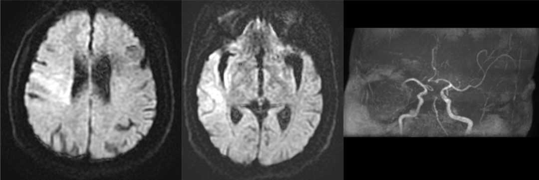
病例1:患者为69岁女性,因突发左侧肢体无力2小时来诊,既往心房颤动病史,入院时NIHSS评分16分,mRS评分4分,入院后头颅CT未见出血,予静脉溶栓治疗,效果不佳,绿色通道头颅核磁提示右侧半球大面积脑梗死,右侧大脑中动脉急性闭塞。

术前核磁影像(右侧半球大面积脑梗死,右侧大脑中动脉急性闭塞。)

神经内科介入团队接诊后迅速行中间导管负压抽吸完全开通大脑中动脉。

术后1周患者恢复正常,NIHSS评分0分,mRS评分0分。
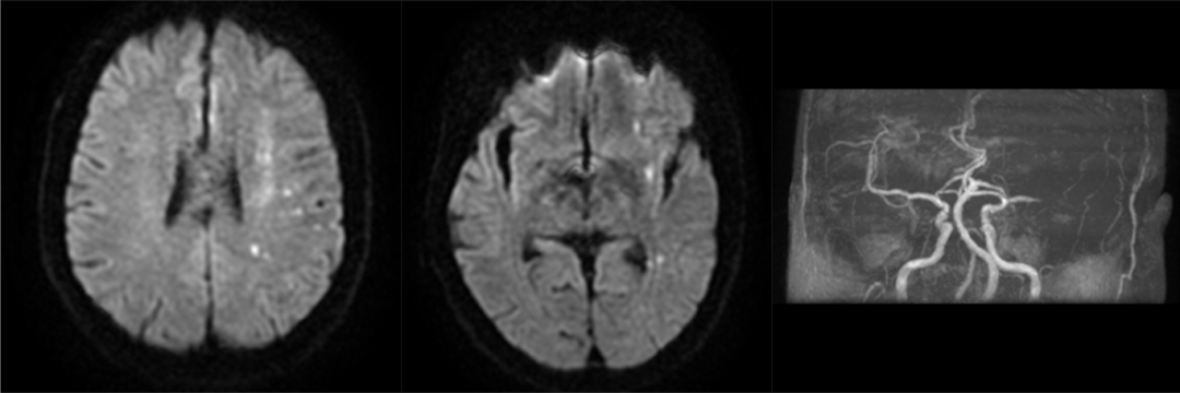
病例2:患者为62岁男性,因右侧肢体无力19小时来诊,既往高血压病史。患者入院后急诊头颅核磁提示左侧半球多发点状梗死灶,左侧大脑中动脉闭塞,NIHSS评分4分。入科后患者病情进行性加重,术前NIHSS评分14分,mRS评分4分,结合患者影像学检查及临床症状符合DAWN(临床-影像不匹配)标准,予急诊血管内介入治疗。

术前核磁影像(左侧半球多发点状梗死灶,左侧大脑中动脉闭塞)

术前影像

术后开通影像
术中予左侧大脑中动脉Solitaire支架取栓+中间导管负压抽吸成功取出血栓,恢复血管再通。

术后1周患者肢体恢复良好,NIHSS评分2分,mRS评分1分。
2名患者为同一天入院,神经内科急诊介入团队及时响应,保证患者得到快速有效治疗,目前2名患者均痊愈出院。
自2024年3月以来,神经内科急诊介入诊疗工作全面开展,截至目前,已完成10例患者手术治疗,远超年初目标量。急诊介入治疗工作有序快速地开展为神经内科诊疗团队增强了信心,也为高级卒中中心建设工作奠定了基础。
呼和浩特市第一医院神经内科急诊介入团队始终坚守在脑卒中24小时绿色通道岗位上,随时应对可能出现的紧急情况。在院领导的大力支持及田文生主任的领导下,神经内科急诊介入致力于提升医疗服务质量,充分发挥绿色通道在急诊救治过程中的独特优势,为首府百姓的健康提供了坚实保障,展现了我院医者仁心的崇高品质。

