呼和浩特市第一医院冠脉介入步入功能学评估精准治疗新时代
11月24日,呼和浩特市第一医院心血管内科高江峰主任团队,使用北芯TRUEPHYSIO®压力微导管为患者完成FFR测量。北芯TRUEPHYSIO®压力微导管是国产首个实测型FFR产品,其极细的管身及拥有专利的MEMS封装技术保证测量结果准确性的同时,独有的快速交换设计和流线外形可保证其在各种病变中进退自如,节省术者操作时间。
患者57岁男性,因“胸痛1天,加重伴气短16小时”入院;否认有高血压、糖尿病病史,有慢性胃炎病史,偶有吸烟饮酒史,已戒烟10个月。肌钙蛋白I:1.12ng/ml,心电图未见明显异常,入院诊断为:急性非ST段抬高型心肌梗死。


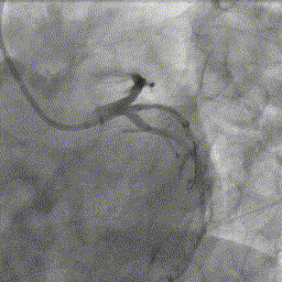
患者住院一周后检查冠脉造影,结果提示:前降支中段和远端轻度狭窄


中间支重度狭窄、回旋支大致正常

右冠脉正常

综合患者的临床症状、既往病史以及心电图表现,考虑中间支为罪犯血管,为进一步精确测量血管血流功能,将压力微导管的压力感受器放至中间支远端后测量FFR,测定值为:0.45,提示中间支严重缺血。

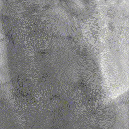
FFR值低于0.8,符合介入治疗指征,故进一步行冠脉介入治疗,于中间支行冠脉内药物球囊扩张成型手术,药物球囊扩张图像如下:

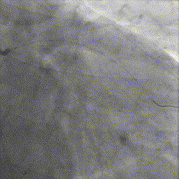
术后复查造影图像如下:


中间支药物球囊扩张术后复查造影图像满意,其血管功能是否得到了恢复?术后复查FFR比值,在冠脉最大充血态下测得FFR为0.92,较术前的FFR值0.45有明显改善,提示血管功能到达充分恢复,治疗效果满意。

总结语:目前临床对于精准手术的需求日益增高,单纯的冠脉造影已无法满足现阶段手术需求,亟需一种技术手段填补该空缺,而FFR正可满足这一需求,使用FFR可以协助术者对病变选择正确的治疗策略进行精准治疗从而为患者带来最大的获益。目前国内外专家指南及共识中均提出针对冠脉造影狭窄50%~90%且没有无创检查等缺血证据的患者,建议进行FFR检查,推荐级别为I类、A级的最高级别。
科室简介:呼和浩特市第一医院心血管内科是呼和浩特市重点学科,是集临床、教学、科研、保健为一体的心血管疾病诊疗专科,现有三个病区,一个心功能室,配套一间心导管室,编制床位127张(其中CCU病床13张,抢救病床6张),医护人员87名,其中医师33名(博士学位4名,硕士学位17名),护士54名(硕士学位的1名,本科46名),主任医师9名、副主任医师10名,年门诊量22000余人次,年住院病人4000余人次,床位使用率95%以上,平均住院日≤10天。
科室主要设备有全套心电监护系统、中心动脉压检测仪、射频消融仪,多导电生理仪、动脉硬化检测仪、血管内皮功能检测仪、体外主动脉球囊反搏仪、血气分析仪、动态心电检测仪、动态血压检测仪等。
开展的诊疗技术项目有:规范化药物诊治冠心病、心律失常、高血压病、瓣膜性心脏病、心力衰竭、心肌病、感染性心内膜炎、病毒性心肌炎、心包疾病、高脂血症等常见心血管疾病的基础上,重点开展心脏介入诊治项目,有冠脉造影及冠脉支架术(包括急诊冠脉介入术),室上速、房速、房扑、房颤、室早、室速等的心内电生理检查与射频消融术,临时或永久心脏起搏器置入术,先心病封堵术,二尖瓣球囊扩张术,左心耳封堵术,房颤射频消融+左心耳封堵一站式手术,心腔内超声检查术,冠脉血流储备分数检测,主动脉球囊反搏术,心衰患者的CRT-P/CRT-D,ICD治疗以及结构性心脏病介入治疗等,多项目前处于自治区领先水平。
呼和浩特市第一医院心血管内科将以心脏中心为依托,完善胸痛中心、房颤中心、心衰中心及心脏康复中心建设,使临床、教学、科研协同发展,并且秉承求真务实、服务至上的理念,不断开拓进取,力求为患者提供更优质的医疗健康服务,并努力将科室打造为立足首府、服务全区、彰显特色的区域心血管疾病诊疗中心。
